
عروض قسم الأسنان
عروض الحشوات التجميلية
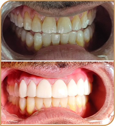
عروض ابتسامة المشاهير (تلبيسات / عدسات)
عرض تنظيف الاسنان
عرض تبييض الأسنان بالليزر
عروض التقويم (كاش/ قسط)
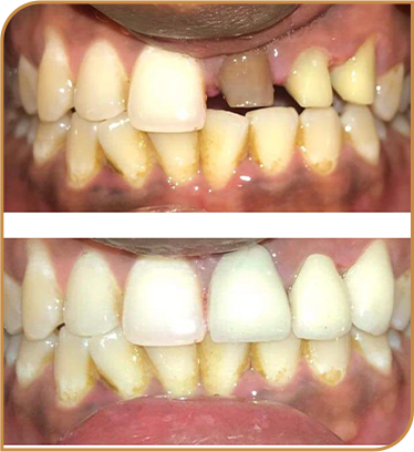
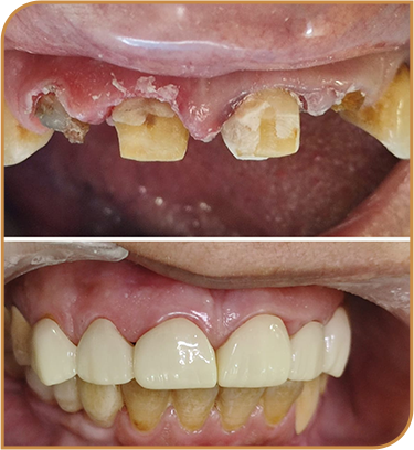
عروض التركيبات (زريكون/ بورسالين)
النساء
جلسات الفل بادي خصم 40%
جلسات مناطق خصم 40%
الرجال
جلسات الفل بادي خصم 40%
جلسات مناطق خصم 40%
أكثر من 14 سنة خبرة